Sometimes, the best line of action for a compromised tooth is a dental extraction. Though that is not the most desirable outcome for your tooth, Prairie Dental Care's Dr. Wang and Dr. Ma has multiple options for replacement.
Dental Implants For Extractions
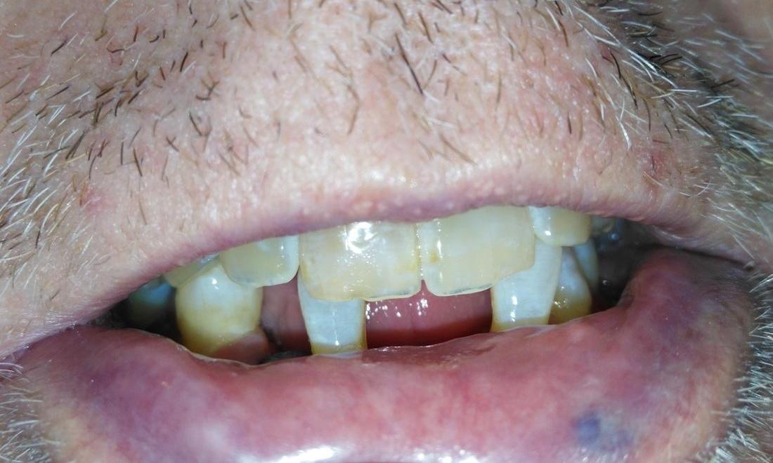
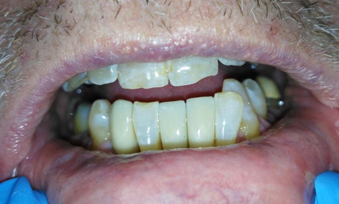
This patient had three lower front teeth with extensive cavities that could not be saved. The teeth were extracted and dental implants were placed on the same day. The final restoration with crowns achieved great functional and aesthetic results.
Need An Extraction? We Have Tooth Replacement Options
For dental extractions, our team can help replace the areas with a dental implant or more. With flexible hours, we are open Saturdays for your convenience. Additionally, if you are a Spanish, Cantonese, or Mandarin speaker we have speakers of those languages in office. So if you live near the North Aurora, Sugar Grove, Geneva, Batavia, Oswego, and Montgomery IL area, book with us today.
 
