The first thing people notice about one another when meeting is the face, followed closely by the smile. If you have missing teeth, you may cover your mouth or smile without ever showing your teeth.
Dental bridges in Aurora, IL, are an excellent way to restore your smile, boost your confidence, and much more. Continue reading to learn how a dental bridge can benefit your daily life.
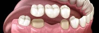
What Is a Dental Bridge?
A dental bridge is a prosthetic with artificial teeth that connects to healthy teeth through capping (or dental crown placement. The bridge teeth, usually one or two, are housed between crowns. These crowns cap a healthy tooth on both sides of your smile gap, allowing the prosthetic to fill the space.
Bridge teeth are always colored and designed to look like your natural teeth. This fixed restoration does not rock or tilt, so you’ll feel confident interacting with others.
Benefits of a Dental Bridge
You’ll Feel More Confident
When you smile, no one will guess that you have a bridge. All they’ll see is a full smile.
You’ll Enjoy a More Robust Diet
With the dental bridge, you can incorporate a wider selection of foods into your diet, including crunchy and complex options.
You’ll Keep Your Bite in Check
Because the dental bridge is a fixed solution, you’ll not have to worry about tooth migration—or shifting teeth throwing off your bite line.
You’ll Find Upkeep Easy
A floss threader and a small brush to clean debris off the bridge and keep it from accumulating at the gumline. A member of our team can help you learn to use these user-friendly items, which add only a little time to your oral hygiene routine.
Restore Your Smile Beautifully with a Dental Bridge
To learn more about the dental bridge or to discuss tooth replacement options with your Aurora, IL, dentist, contact us today to schedule a consultation.